Wiadomości
Artykuły
Rankingi
Wideo
Wywiady
Fotogalerie
Biografie
Encyklopedia
MMA
Polska
Świat
Freak Fight
Amatorskie
Drużynowe
Uderzane
Boks
Kickboxing
Muay Thai
Sanda
Capoeira
Inne
Chwytane
BJJ
Judo
Zapasy
Sumo
Sambo
ADCC
Koluchstyl
Inne
Karate
Tradycyjne
WKF
Kyokushin
Oyama
Wushu
Taekwondo
Inne
Z Bronią
Kendo
Szermierka
Medieval
Systemy Bojowe
Krav Maga
MDS
Grom Combat
Inne
Inne
Redakcja
Kontakt
Zespół redakcyjny
Reklama
Logotypy
Polityka prywatności
Regulamin
Kanał RSS
Wiadomości
Artykuły
Rankingi
Wideo
Wywiady
Fotogalerie
Biografie
Encyklopedia
MMA
Polska
Świat
Freak Fight
Amatorskie
Drużynowe
Uderzane
Boks
Kickboxing
Muay Thai
Sanda
Capoeira
Inne
Chwytane
BJJ
Judo
Zapasy
Sumo
Sambo
ADCC
Koluchstyl
Inne
Karate
Tradycyjne
WKF
Kyokushin
Oyama
Wushu
Taekwondo
Inne
Z Bronią
Kendo
Szermierka
Medieval
Systemy Bojowe
Krav Maga
MDS
Grom Combat
Inne
Inne
Redakcja
Kontakt
Zespół redakcyjny
Reklama
Logotypy
Polityka prywatności
Regulamin
Kanał RSS
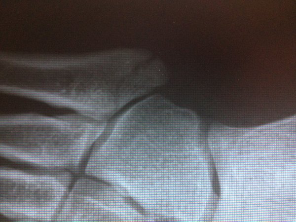
DOKUMENTACJA MEDYCZNA GAMROTA I WŁODARKA
Dodano:
6 marca 2014 12:15
Autor:
Redakcja, konfrontacja.com
Zdjęcie:
Redakcja
Dokumenty dotyczące kontuzji zawodników KSW.
Zdjęcie: Redakcja
Zdjęcie: Redakcja
Zdjęcie: Redakcja
Zdjęcie: Redakcja
Zdjęcie: Redakcja
Zdjęcie: Redakcja
Zdjęcie: Redakcja
Zdjęcie: Redakcja
Zdjęcie: Redakcja
Udostępnij:
Kalendarz imprez